Cromosomas gigantes en Drosophila spp


Agradecimiento: A la Doctora Beatriz Goni de la facultad de Ciencias de la Universidad de la Republica (Uruguay), ella ha colaborado con el trabajo  con todo desinterés y ha hecho que sea posible.

Introducción

Se conocen dos tipos de cromosomas de gran tamaño, los politénicos y los plumulados, la característica es su enorme tamaño de unas 1000 veces más que los cromosomas somáticos, la longitud va desde las 1200 a 2000 μ y su diámetro entre las 4 y 5 μ.

Para encontrar a estos cromosomas vamos a tener que conseguir larvas de una mosquita muy difundida en todo el mundo, la Drosophila, es la mosquita de la fruta

Estas larvas en sus glándulas salivales tienen cromosomas gigantes politénicos.

clip_image002

Esta es la mosquita, probablemente Drosophila simulans que es mas frecuente que melanogaster sin embargo a los efectos de ver los cromosomas gigantes  hay pocas variaciones

Esta mosquita es muy frecuente verla cuando dejamos a la sombra algún cesto con frutas, inmediatamente estas están merodeando y revoloteando sobre ellas, son muy pequeñitas comparadas con las moscas comunes y en general tienen los ojos rojos. La hembra es más grande que el macho.

clip_image004

Esta mosca desde 1909 luego de un trabajo de Thomas Morgan pasó a ser el insecto mas usado en genética experimental debido a su económica reproducción, rápida descendencia y amplia distribución en todo el mundo.

Como conseguir las larvas

Medio de cultivo

Para ver los cromosomas gigantes necesitamos larvas, las cuales  cultivaremos en un medio casero que podemos preparar así:

1 banana o plátano

1 cucharada grande de levadura de cerveza

1,5 cucharada grandes de Maicena o fécula

1 cucharada de yogur natural

1,5 cucharada de vinagre de alcohol

½ taza de agua caliente.

Se colocan todos los ingredientes haciendo una papilla, luego se le agrega a la misma la media taza de agua bien caliente, se mezcla y se reparte en potes de unos 10 cm de diámetro, el líquido debe alcanzar 1,5 a 2 cm en el pote.

Antes de colocar la mezcla en el pote conviene hervir la papilla antes que leude la levadura.

Si se va a trabajar en cruzamientos genéticos conviene agregarle al medio de cultivo algún conservante como por ejemplo el Nipagin, de esa manera se puede guardar en heladera el medio listo para usar, en este caso solo usé la mezcla sin hervir y sin este conservante , nada mas que los ingredientes que están al principio

clip_image006

Se ve el aspecto del medio y también algunas mosquitas que detectaron el aroma y están en las paredes del recipiente

clip_image008

Después de dos días el recipiente tenía una buena cantidad de moscas por lo que lo tapé para que otras moscas de otro tipo no colonicen allí

Hay otros medios de cultivos, pero este funciona bien y los ingredientes los tenemos en casa

El ciclo de la mosca a unos 25 º C es de unos 10 días, de huevo pasa a larva de larva a pupa y de pupa a adulto, más o menos a partir de los 6 o 7 días veremos el movimiento de las larvas que suben por las paredes del pote.

clip_image010

Increíble movimiento de las larvas en el el medio a los 6 días (un mar de gusanos)

Disecando las larvas

La larva tiene unos 3 mm de largo a los 6 días que es el momento de separarlas para disecarlas (Por favor ecologistas no joder con eso que soy cruel y mato animalitos, son gusanos…)

Se colocan en una capsula de petri o un vidrio de reloj con unas gotas de acido acético al 45% para que no se deshidraten, con un fondo oscuro.

Ojo no confundir las pupas que son de un color pardo y no tienen movimiento

Para disecarlas necesitamos dos agujas (usé dos de extracción 25/8 con unos manguitos plásticos que las hacen mas manejables) Es conveniente ayudarse con una lupa, en mi caso usé una tipo monóculo de relojero

Las agujas  aplastarlas para que el material no se vaya dentro, deben tener buena punta pero no filosas.

clip_image012

Se coloca una aguja mas o menos al medio de la larva aplastándola y dejándola inmóvil y la otra en las fauces ( se distinguen bien porque son negras, además la larva se desplaza con esa parte hacia delante) luego se desplazan las agujas en sentido contrario desgarrándola, la parte de la aguja que estaba en las fauces quedará con las glándulas

clip_image013

clip_image014

Las glándulas son de color blanco grisáceo y conviene separarlas perfectamente de la parte de fauces, que queden solas o lo mejor que se pueda, una vez hecho esto las depositamos en un portaobjetos con una gotita acético al 45%

clip_image016

Una larva de 3er grado, son las as grandes y generalmente adheridas a la pared del frasco con el cultivo

clip_image018

El tamaño de la larva comparado con el bisel de una aguja 25/8

clip_image020

La zona donde están las glándulas salivales

Coloración

En los textos donde se describe este práctico recomiendan la orceína láctica, si se dispone de ella hay que poner una gota de colorante sobre el material y dejarlo 10 minutos luego un cubreobjetos, seguidamente se pone una servilleta de papel  sobre el mismo y con el pulgar se presiona fuertemente para disgregar el material (squash). En este tipo de coloración podrá observarse el bandeo de los cromosomas, adjunto una foto que me proporcionó la doctora Goni realizada con esta técnica

image

Yo no dispongo orceína realicé coloraciones de las que disponía, lo que mejor anduvo fue el colorante de Giemsa, es un líquido con varios colorantes muy conocido y económico, se utiliza en los laboratorios para colorear sangre un litro de este colorante sale aproximadamente unos U$A 20

Técnica con Giemsa

Una vez disecadas las glándulas las colocamos en un porta con unas gotas de ácido acético al 45% hasta que se pongan  transparentes, aproximadamente unos 15 minutos, luego ponemos un cubre sobre el material y con una servilleta de papel sobre el mismo y por debajo hacemos presión fuertemente sobre el cubre con el dedo pulgar sin girar, eso se denomina scuash  y rompe los núcleos de las células dejando los cromosomas bien extendidos, luego colocamos el portaobjetos sobre hielo seco (si disponemos de él) y una vez congelado el material con la punta de una aguja hacemos saltar el cubreobjetos, si no hay hielo seco quedará bastante material pegado al cubre, podemos intentar otro scuash al costado del primero para dejar la mayor cantidad de material.

Se deja secar al aire y se vierten sobre el mismo 10 cm de colorante, preparado con 10 cm de agua y 10 gotas de giemsa se deja actuar el colorante 10 minutos luego se lava con chorro de agua fino sobre un costado del porta para que el agua no arrastre el preparado

Observación

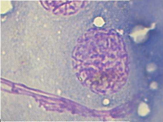
Se coloca una gota de aceite de inmersión y se la desparrama en forma uniforme, siempre aunque se observe con objetivos que no son de inmersión en preparados secos hay que poner el aceite, si no se dispone de ella puede usarse vaselina líquida con buen resultado. La primera observación se hace con objetivo panorámico de X 10 y se localizan los núcleos que quedan de un color rojizo, luego se pasa a X 40 y luego a X100 con inmersión

clip_image026

Núcleo de célula gigante a X 40

clip_image028

clip_image030

 

 

Y ahora lo mas lindo, los cromosomas bien distendidos y en toda su magnitud con el bandeo característico

cg1

cg2

cg3

cg4

11 comentarios en “Cromosomas gigantes en Drosophila spp

  1. FANTASTIKOSUPER BIEN AUNKAHORA SI SUPERLISTA PARAMI PRACTICA¡¡¡¡

  2. mil gracias me ayudo muchisimo esta bien chido todo garcias

  3. gracaias por la informacion me sirvio de mucho esta informacion de verdad les agradesco por la informacion

  4. Es impresionante como los cromosomas se hayan condensado tantas miles de veces es impresionante me ha parecido muy fascinante esta investigación y a demas siguen estos siendo muy grandes.

  5. pues le direeeeeee ‘ q’ ami no me sale lo que yo buscooo»

  6. Pingback: Criogenización de un animal por primera vez en drosophila

  7. Me enamore de las larvas ❤ Gracias!

  8. pero aqui se aprecia bien la cromatina no , tadavia no se ha segmentado en cromosomas

Deja un comentario